Какво се случва с вас след заразяване с COVID-19?
Клиницисти и учени от цял свят работят, за да разберат какво се случва с хората след заразяване с коронавирус и по време на възстановяването, както и да намерят лечение. Все още обаче няма надеждни проучвания относно дългосрочния ефект на COVID-19 върху организма. Използва се опитът от предходните коронавирусни пандемии.
Някои хора, преживели COVID-19, ще могат да се справят със симптомите си и да останат вкъщи, а други ще трябва да влязат в болница. Тежестта на заболяването се определя от нивото на дихателна поддръжка, от която се нуждаят пациентите, когато са в болница. Може да имат нужда от много допълнителен кислород и апарат за подпомагане на дишането, както и да са в състояние да дишат сами.
Може също така да са интубирани и поставени на механична вентилация в интензивното отделение. Известно е, че когато някой се нуждае от апарат за изкуствено дишане за повече от два дни, това се отразява по много начини на организма.

Другите случаи на постъпване в болница понастоящем се описват като „леко до умерено“ заболяване от COVID-19.
Кои органи и системи поразява COVID-19?
SARS-CoV-2 използва ангиотензин-конвертиращия ензим II (АСЕ2) като рецептор за клетъчното си навлизане. АСЕ2 е важен регулатор на имунния отговор, особено на възпалителната реакция. Още преди 20 години учени установяват присъствието му в 72 вида тъкани, а съвременни проучвания разглеждат неговата експресия и местоположението му в тялото, като фактори за проследяване на потенциалния целеви орган на инфекцията.

Учените подчертават, че точният механизъм и ефективно действие, чрез които ACE2 оказва влияние върху органите все още не е напълно изяснен. Със сигурност генетиката и демографските характеристики, начинът на живот, съпътстващите заболявания и употребата на лекарства могат да окажат влияние върху експресията и активността на ACE2 при клетъчна инфекция със SARS-CoV-2.
Въпреки че е доказано, че възпалението на белите дробове е един от основните симптоми, вирусът може да засегне и други органи, които имат висока до умерена експресия на АСЕ2.
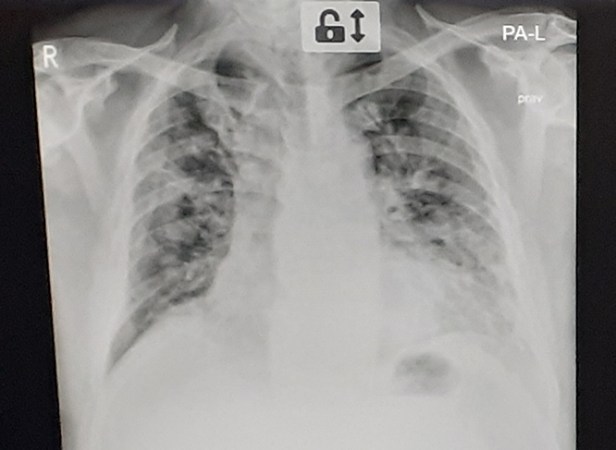
Бели дробове
Дихателната система е една от най-засегнатите от коронавирусната инфекция. Вирусът на COVID-19 се свързва с АСЕ2 рецептора в алвеолите, прониква в тях и атакува директно клетките в белия дроб. Настъпва деструкция и изливане на течност в алвеолите – най-малката структурна единица на белия дроб, където се извършва газообменът. Допълнителен принос за токсичния ефект оказват клетките на възпалението, които се натрупват в тъканите на белия дроб и отделят голямо количество цитокини.
Разрушаването на специализираните белодробни клетки предизвиква имунен отговор, който има за цел да неутрализира ефектите от вирусната инфекция. При част от пациентите това се случва и те успешно я преодоляват. Но при други имунният отговор може да бъде изкривен и да има свръхреакция на имунната система, която причинява неконтролирано и прекомерно освобождаване на противовъзпалителни цитокини. Това е дисфункционален имунен отговор (свръхактивация, известна още като „цитокинова буря“ или хиперцитокинемия), който може да причини мултисистемна органна недостатъчност и смърт.
При COVID-19, за разлика от другите вирусни пневмонии, промените са изключително двустранно изразени, по-често периферно разположени. Могат да се видят в горните дялове на белия дроб, в средните, но по-често са в долните. Промените тип „матово стъкло” на образните изследвания отразяват възпалението на алвеолите.

Когато пневмонията излиза от острата фаза, много бързо се стига до сраствания. Наблюдения на лекари при хоспитализирани пациенти с COVID-19 във ВМА показват, че често при тежко болни пациенти фиброзата, която се развива, е много сериозна и на практика намаля всички белодробни обеми, като може да ги направи кислородозависими и да ги инвалидизира, дори във възраст, в която белият дроб изобщо не е остарял. Фиброзата е крайна фаза на преструктуриране на белодробната тъкан, където газообмен не се осъществява.
Сърце
Наблюдаваните усложнения от COVID-19 включват хипотония, аритмия, намалена фракция на изтласкване, повишаване на тропонина и миокардит. Дисфункцията на лявата камера в острата фаза би могла да се дължи на значително повишени нива на цитокини. Засиленото освобождаване на възпалителни цитокини може да предизвика некроза на миокардните клетки. Интензивен възпалителен отговор при наличие на съществуващо сърдечно-съдово заболяване може да увреди сърцето. Увреждането на миокарда би довело до дългосрочна дисфункция и трябва да се има предвид при пациенти, които започват рехабилитация. Въпреки че повечето пациенти развиват персистираща тахикардия, установено е, че тя е относително доброкачествена и самоограничаваща се.

Нервна система
Въпреки предположенията, все още няма категорични данни за това дали вирусът уврежда централната нервна система или увредата се дължи на системното възпаление, което протича в организма. Изказват се предположения за първоначална увреда в периферната нервна система, а след това и в централната, но все още без категорични доказателства за това.
Проучване в САЩ посочва, че 36% от пациентите с COVID-19 развиват неврологични симптоми, включително главоболие, загуба на обоняние и вкус, променено съзнание, гърчове, парестезии и инсулт. Синдромът на задна обратима енцефалопатия, който причинява главоболие, объркване, гърчове и загуба на зрението, може да бъде усложнение. Рядко се съобщава и за вирусен енцефалит, свързан с COVID-19. Установено е, че пациентите имат много високи нива на D-dimer и хиперкоагулация, което от своя страна потенциално увеличава риска от остри мозъчно-съдови събития. Както при много вирусни синдроми, и тук, макар рядко, се съобщава за синдрома на Гилен Баре, остра демиелинизираща енцефалопатия, остра некротизираща хеморагична енцефалопатия и остър напречен миелит. Миопатия с тежки мускулни симптоми често се наблюдава сред умерени и тежки случаи.

Хематологични усложнения
Пациентите, тежко засегнати от COVID-19, са изложени на висок риск от хиперкоагулируемо състояние, характеризиращо се с много високи нива на D-dimer, тромбоемболия и инсулт, посочва американско проучване, обхващащо районите с най-голям пик на заболяването по време на първата вълна – Ню Йорк, Бостън, Балтимор и Вашингтон. Тромбоемболия е документирана при 1 на всеки 5 пациента, а инсулти са настъпили при 3% от хората. Тромбоемболични събития се случват въпреки профилактичната употреба на антикоагуланти и се появяват както венозна, така и артериална тромбоза. В допълнение, тежката инфекция с COVID-19 изглежда е свързана с усложнения от кървене, повишен риск от вътречерепен кръвоизлив и в някои случаи дисеминирана вътресъдова коагулация (ДИК-синдром).
Бъбреци
Няма достатъчно категорични данни, че инфекцията с вируса на COVID-19 причинява остра бъбречна недостатъчност, но въпреки това при някои пациенти се наблюдава повишение на нивата на креатинин и урея. Изглежда усложненията от страна на бъбреците зависят пряко от съпътстващите им заболявания, общото състояние, възрастта и другите придружаващи болести. Препоръчва се пациентите с остро бъбречно увреждане да бъдат проследявани в продължение на 3-6 месеца след изписването от болницата.
Черен дроб и стомашно-чревен тракт
Черният дроб може да бъде увреден от токсичното действие на вируса. Откритият вирусен товар в изпражнения и кръвни проби на болни с диария предполага наличието на вируса в чернодробната тъкан и стомашно-чревния тракт, въпреки наличните данни, че увредата на черния дроб пряко зависи от придружаващите заболявания в този орган.
Кожни усложнения
Кожните лезии, свързани с COVID-19, включват (от най-често срещаните до най-рядко срещаните) макулопапулозни обриви, уртикариални, акрални еритеми с везикули или пустули (гнойни пъпки), везикуларни изригвания и livedo reticularis (петнисто обезцветяване на кожата). Некротизираща васкулопатия също може да възникне и да доведе до загуба на крайник, сочи проучване. При използване на позиционна терапия, при която пациентите са легнали по очи, при оцелелите може да се появят рани по лицето и други части на тялото, които да бъдат проблематични поради вторични инфекции.
Други усложнения
Съобщава се, че оцелелите от синдрома на Остър респираторен дистрес, които са били на механична вентилация имат усложнения като нараняване на ларинкса, стеноза на трахеята, хетеротопна осификация, адхезивен капсулит, декубитални язви, дисфония, дисфагия, сензоневрална загуба на слуха, наранявания на Plexus brachialis и периферни невропатии (перонеална и лакътна). Допълнителни физически последствия за пациентите има и от инактивитета – кардиореспираторни нарушения, постурална нестабилност, венозна тромбоемболия, мускулна хипотрофия и контрактури.
Налице са и психологически проблеми, като посттравматично стресово разстройство, безсъние, депресия и обща тревожност. COVID-19 може да породи продължителна хипоксия, която да доведе както до остра, така и до дългосрочна невропсихологична дисфункция.

Наблюдение във Фейсбук група за боледували, положителни или контактни на COVID-19 в България показва, че сред най-честите оплаквания у нас са продължителна загуба на обоняние и вкус, затруднено дишане и лесна умора, проблеми с паметта и замаяност, мускулна слабост, стомашно-чревни проблеми и косопад.
Имам ли нужда от клинично проследяване?
Някои хора ще се нуждаят от допълнително медицинско проследяване след COVID-19. Пациентите, които са били в болница с COVID-19, най-вероятно ще бъдат проследявани от лечебното заведение, като това може да става по телефона или чрез преглед. Може да се наложи да посетите болницата за рентгенова снимка на гръдния кош, лабораторни изследвания или за проследяване на специфични проблеми.
Дали се нуждаете от контролен преглед и на коя дата да бъде направен, би трябвало да е посочено в епикризата и документите, които ще получите при изписването от болницата.
Ако сте били приети в отделението за интензивно лечение (ОИЛ), може да бъдете проследявани от екипа му, като това може да се извършва заедно с други специалисти.
76 експерти от Европейското респираторно общество и Американското торакално общество постигнаха консенсус относно необходимостта от оценка на нуждите от кислород при изписване от болницата и по-цялостна оценка на рехабилитационните нужди, включително физически и психически аспекти, на 6-та и 8-ма седмица след изписването.
Международната работна група предлага пациентите с COVID-19 да бъдат насърчавани да извършват редовни ежедневни дейности през първите 6-8 седмици след изписването си болницата.
Експертите коментират, че възможно най-ранното започване на ежедневна физическа активност може да повлияе положително на функционалното възстановяване.
